1
/
of
1
France Vet 2019
Imagerie Des Obstructions Hautes de l’appareil Urinaire Chez Le Chat
Imagerie Des Obstructions Hautes de l’appareil Urinaire Chez Le Chat
Regular price
$30.00 USD
Regular price
$30.00 USD
Sale price
$30.00 USD
Quantity
Couldn't load pickup availability
Synopsis :
- Attitude face à une suspicion d’obstruction urinaire haute.
- Avoir une démarche raisonnée et savoir choisir les bons examens complémentaires.
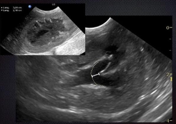
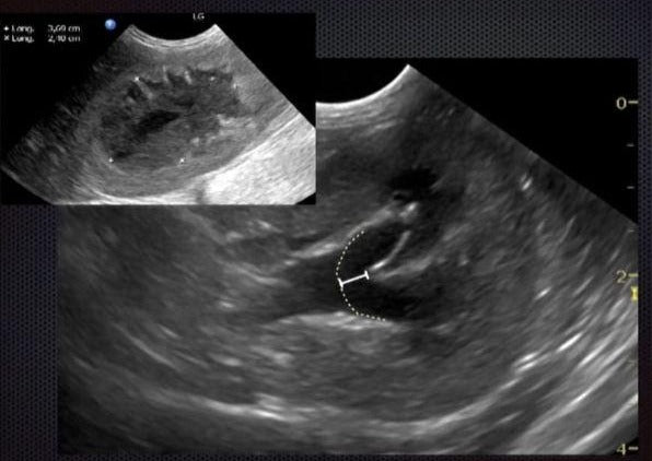
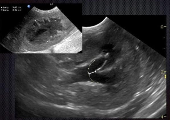
- Maitriser les clés de l’échographie pour diagnostiquer une lithiase urétérale.
- Connaitre le principe les avantages et les limites des autres techniques d’imagerie médicale lors d’obstruction haute de l’appareil urinaire.
Intervenant :
Eymeric Gomes
Dip ECVDI, Dr. Vétérinaire, Spécialiste en Imagerie Médicale
CHV Frégis
Share
