Deutsche Vet 2019
CT versus Roentgen – Ist CT immer besser zur Untersuchung der Vordergliedmaße des Hundes
CT versus Roentgen – Ist CT immer besser zur Untersuchung der Vordergliedmaße des Hundes
Couldn't load pickup availability
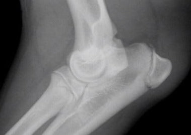
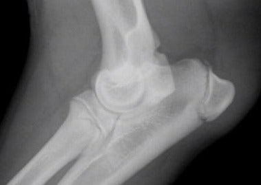
Nein, nicht immer! Beim Vergleich von CT und Röntgen zeigen sich bei beiden Verfahren Vor- und Nachteile. Relevanter als ein allgemeiner Vergleich sind jedoch die individuellen technischen Aspekte jede Untersuchung, die es zu erkennen und zu berücksichtigen gilt. So kann eine gute Röntgenuntersuchung diagnostisch wertvoller sein als eine schlechte CT-Untersuchung. Ein wichtiger Vorteil der Röntgendiagnostik liegt in der technisch einfachen Durchführbarkeit und Interpretation von Stressaufnahmen. Bei Stressaufnahmen wird indirekt die Stabilität und Funktionsfähigkeit von Bandstrukturen geprüft, indem Zug auf das jeweilige Band ausgeübt wird. Ein unphysiologisches Aufklappen und Divergieren von Gelenkspalten liefert den röntgenologisch indirekten Nachweis einer Bandläsion.
Lernziele:
- Vorteile und Nachteile von Röntgen und CT im Vergleich
- Wann ist ein CT schlechter als ein Röntgen?
- Wie erkenne ich, ob ein CT gut ist?
- Wo ist Röntgen besser als CT?
Referent: Dr. Andreas Brühschwein, DipECVDI, Fachtierarzt für Diagnostische Radiologie und Strahlentherapie, European Specialist in Veterinary Diagnostic Imaging™
Tierarzt, akademischer Oberrat, Chirurgische und Gynäkologische Kleintierklinik (Vorstand: Prof. Dr. A. Meyer-Lindenberg), Zentrum für Klinische Tiermedizin, Tierärztliche Fakultät, Ludwig-Maximilians-Universität München (LMU München)
Vorgetragen auf der Deutsche Vet 2019
Konferenzsaal 1
Freitag, 7. Juni um 14:00 Uhr
Share
