1
/
of
1
London Vet Show 2019
Tips and Tricks for Taking Great Radiographs in the Field
Tips and Tricks for Taking Great Radiographs in the Field
Regular price
$19.00 USD
Regular price
$0.00 USD
Sale price
$19.00 USD
Quantity
Couldn't load pickup availability
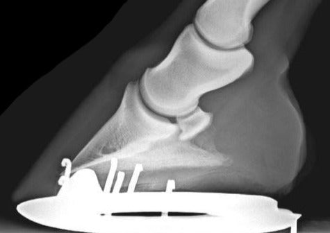
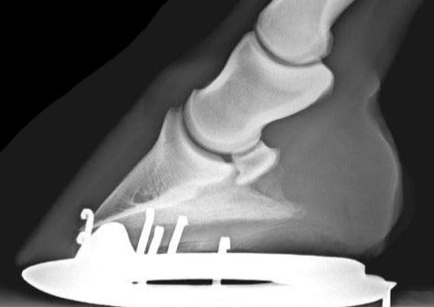
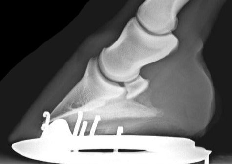
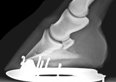
In this session two of the most experienced people in the field of equine radiography will share their top tips.
Attendants will be given the opportunity to learn about how to recognise problems with exposure settings and how optimise them how to get the most of their portable x-ray machine how to best prepare the horse how to best position the horse.
Equine/Radiology
Presented by Renate Weller, Drvetmed, PhD, MScVetEd, ACVSMR, FHEA, NTF, ECVSMR, MRCVS
Director Of Education at CVS
Presented by Alana Cyman
Senior Diagnostic Imaging Technician at Royal Veterinary College
Presented at the London Vet Show 2019
BVA/BEVA Equine Theatre
Friday, 15 November at 9:00AM
Share
