Chicago Vet 2019
My Knees Are Killing Me - Managing Cranial Cruciate Ligament Insufficiency
My Knees Are Killing Me - Managing Cranial Cruciate Ligament Insufficiency
Couldn't load pickup availability
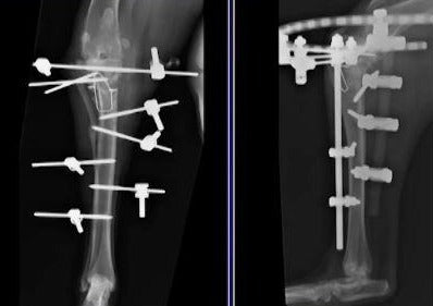
Cranial cruciate ligament insufficiency is the most common cause of lameness necessitating surgery in dogs. The resultant instability produces degenerative joint disease and can result in meniscal trauma. Surgery is often advocated to improve limb function and there are a number of surgical procedures that have been described to manage dogs with this condition. This session will focus on the current state of surgical management of dogs with cranial cruciate ligament insufficiency.
Orthopedics/Surgery
Presented by Daniel Lewis DVM, DACVS
Professor of Small Animal Clinical Sciences at the University of Florida
Supported by Veterinary Orthopedic Implants
Presented at Chicago Vet 2019
Clinical Theater One
Wednesday, May 13 at 2:30 PM
Share
