Chicago Vet 2019
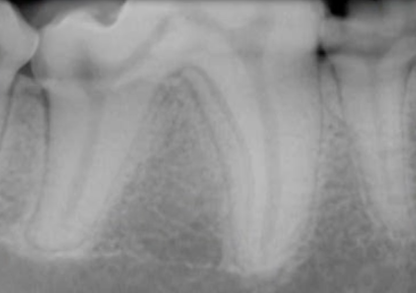
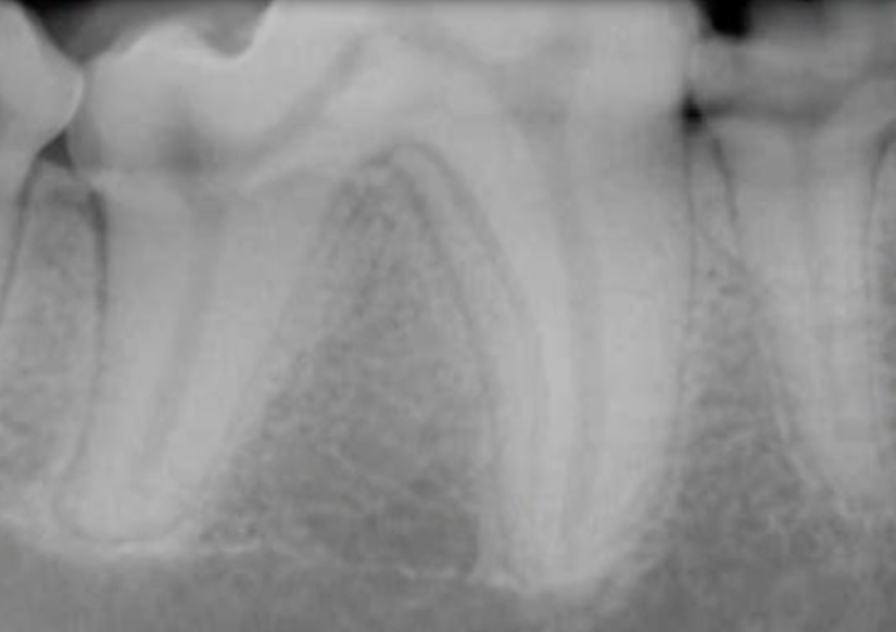
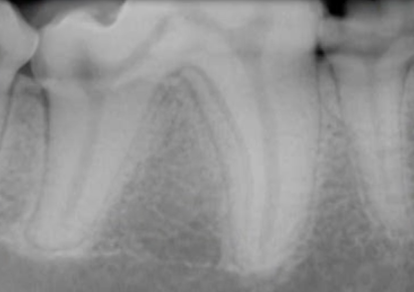
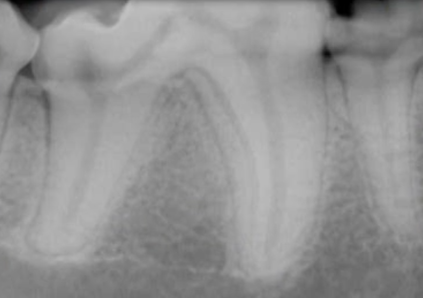
Hors de vue - Radiologie intra-orale
Hors de vue - Radiologie intra-orale
Impossible de charger la disponibilité du service de retrait
L'équipement de radiographie intra-orale est introduit chaque jour dans les cabinets vétérinaires. Nous examinerons l'équipement, la technique de l'angle de bissection et certains cas. Objectifs: Examiner les avantages financiers de la pratique en ajoutant des radiographies buccales en tant que service et norme de soins. Pour illustrer qu'il s'agit d'un équipement essentiel pour la gestion des cas dentaires. Pour discuter de la théorie de la technique de l'angle de bissection.
Dentisterie / radiologie
Présenté par VickieByard CVT, VTS (Dentisterie), CVJ
Ressources d'éducation et de formation vétérinaires PetED
Présenté au Chicago Vet 2019
Vétérinaire Nursing Theatre Two - 327
Mercredi 13 mai à 16h30
Share
