Chicago Vet 2019
Mes genoux me tuent - la gestion de l'insuffisance de ligament Cruciate crânienne
Mes genoux me tuent - la gestion de l'insuffisance de ligament Cruciate crânienne
Impossible de charger la disponibilité du service de retrait
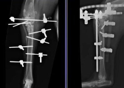
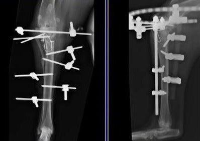
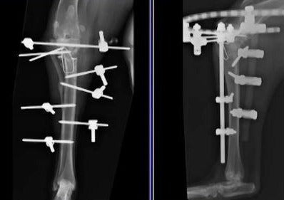
L'insuffisance de ligament cruciate crânienne est la cause la plus commune de chirurgie de nécessitant de claudication dans les chiens. L'instabilité résultante produit la maladie collective dégénérative et peut avoir pour résultat le trauma meniscal. La chirurgie est souvent recommandée pour s'améliorer le membre fonctionnent et il y a un certain nombre de procédures chirurgicales qui ont été décrites pour diriger des chiens avec cette condition. Cette séance se concentrera sur l'état actuel de direction chirurgicale de chiens avec l'insuffisance de ligament cruciate crânienne.
Orthopédie/Chirurgie
Présenté par Daniel LewisDVM, DACVS
Professeur de petit animal sciences cliniques à l'université de Floride
Soutenu parImplants orthopédiques vétérinaires
Présenté au vétérinaire de Chicago 2019
Théâtre clinique un
Mercredi, le 13 mai à 14h30
Share
