Chicago Vet 2019
Les Cibles en mouvement - Guide de Survie à Patellaire Médial Luxation
Les Cibles en mouvement - Guide de Survie à Patellaire Médial Luxation
Impossible de charger la disponibilité du service de retrait
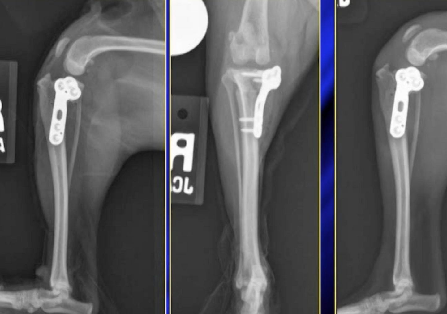
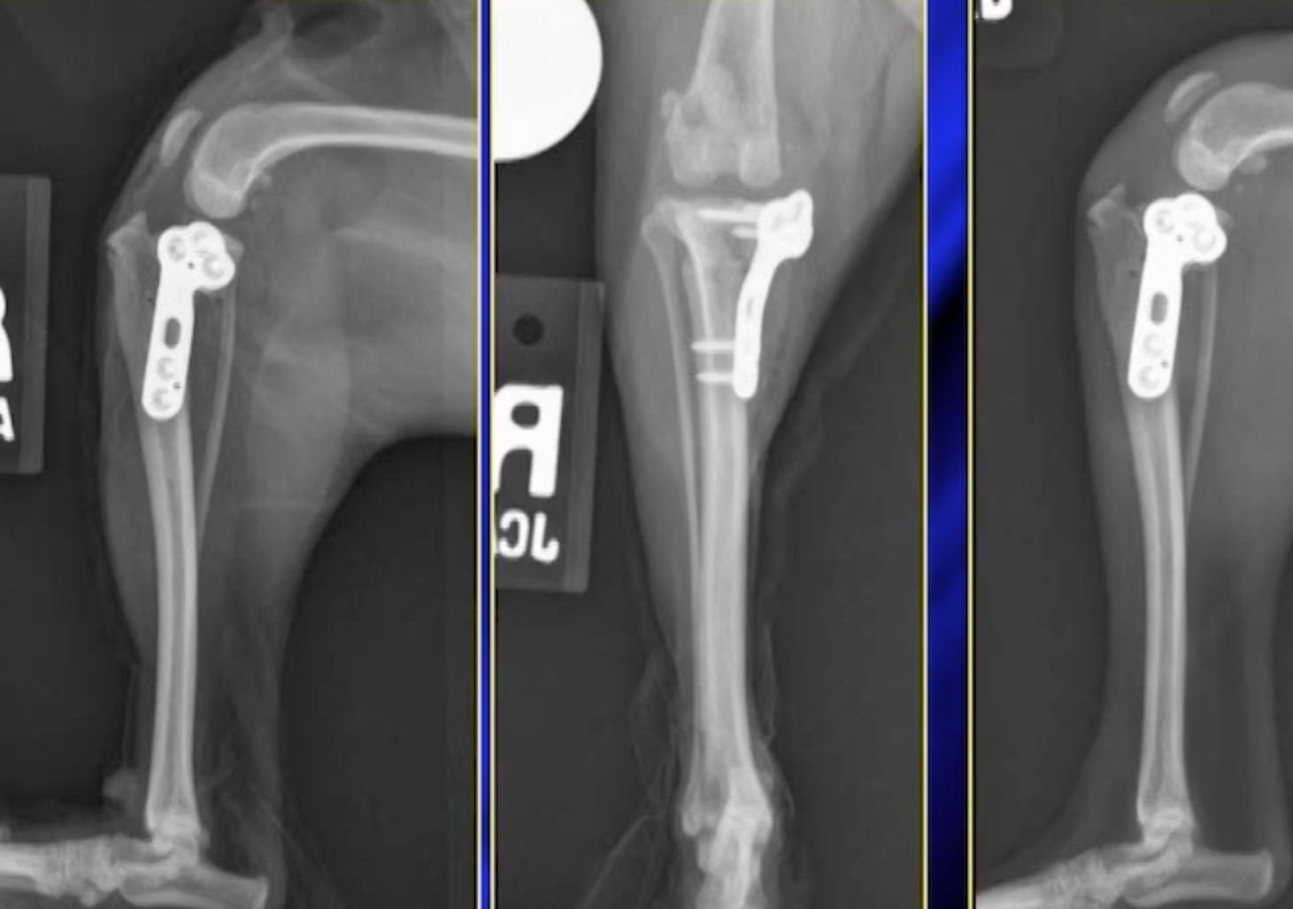
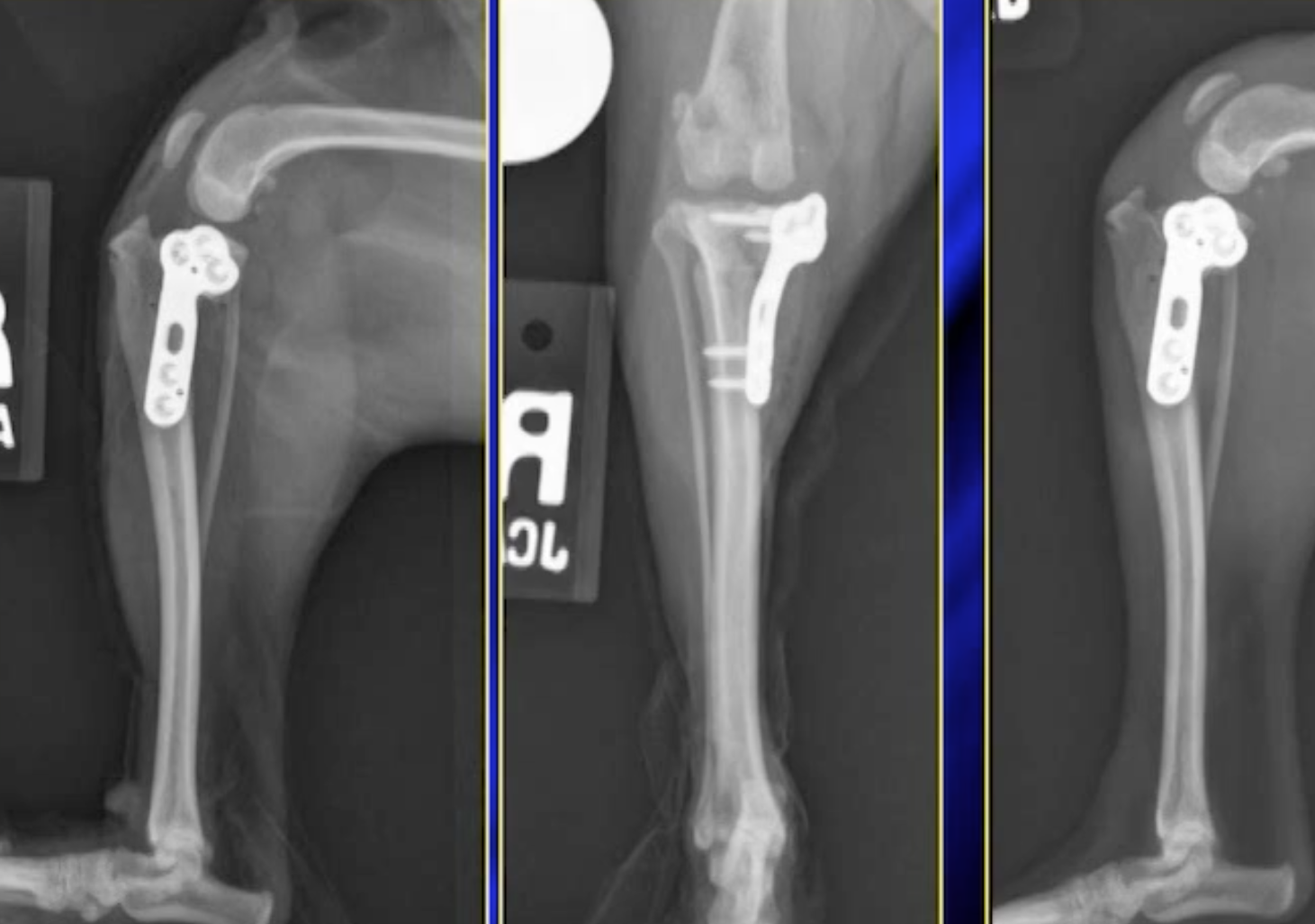
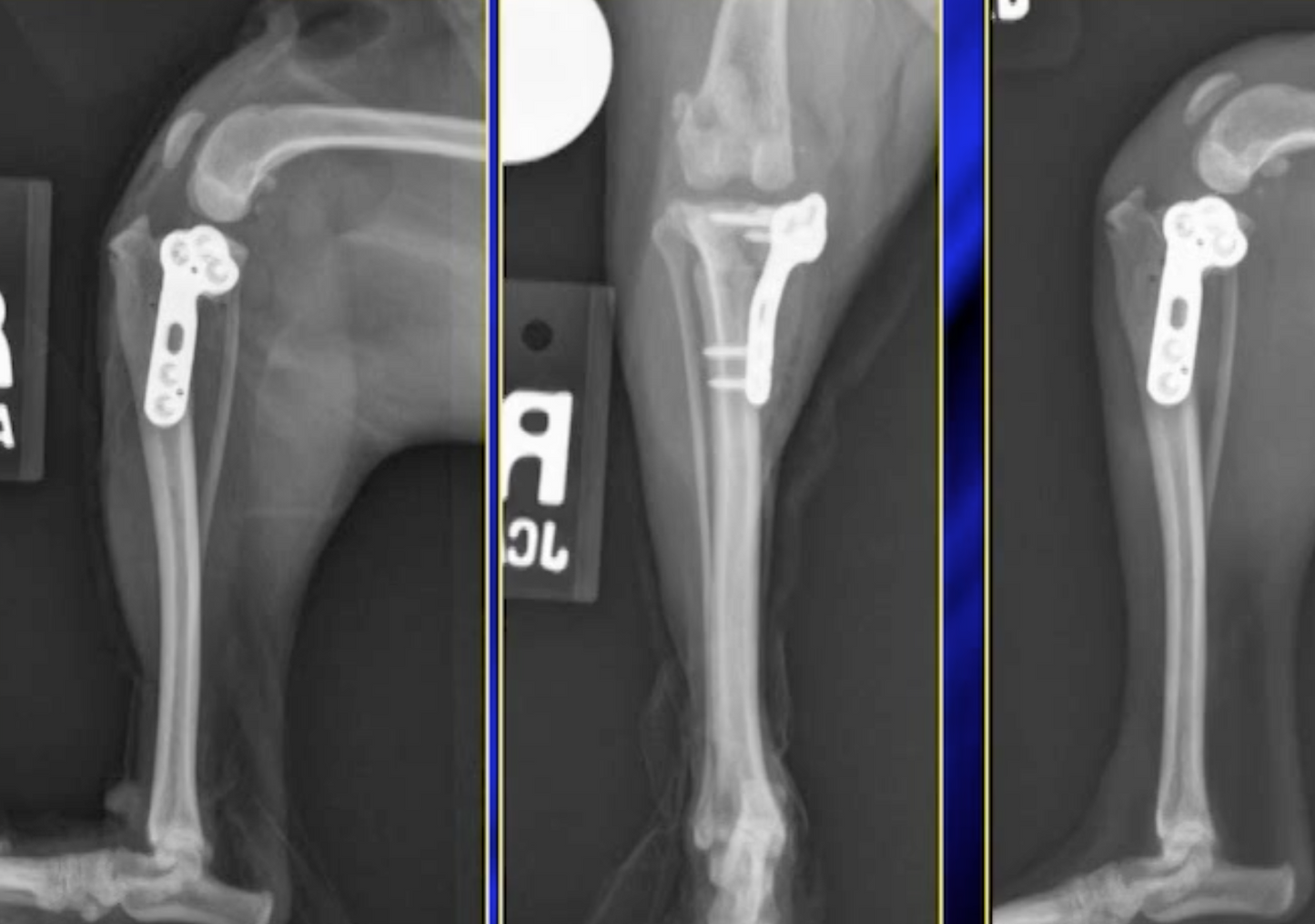
Médiale de la rotule luxation est une commune du développement orthopédique anomalie qui provoque souvent de la boiterie chez les chiens. Alors que le diagnostic de la médial de la rotule luxation est simple, la mise en œuvre de traitement est plus cérébral. La décision de traiter et si oui, quelles sont les options devraient être mises en œuvre sont essentiels pour un résultat optimal, en particulier chez les chiens atteints de grade supérieur luxations ou simultanées du ligament croisé crânial de l'insuffisance. Cette conférence abordera l'état actuel de la gestion de médial luxation patellaire.
Orthopédie
Présenté parDaniel Lewis DVM, DACVS
Professeur, de Petits Animaux en Sciences Cliniques à l'Université de Floride
pris en charge par desVétérinaires Implants Orthopédiques
Présenté à Chicago Vétérinaire 2019
Clinique Théâtre de Deux
mercredi 13 Mai à 8:45 AM
Share
