1
/
de
1
Wild West Vet 2019
Conférence pré-laboratoire d’échographie intermédiaire/avancée
Conférence pré-laboratoire d’échographie intermédiaire/avancée
Prix habituel
$19.00 USD
Prix habituel
Prix promotionnel
$19.00 USD
Quantité
Impossible de charger la disponibilité du service de retrait
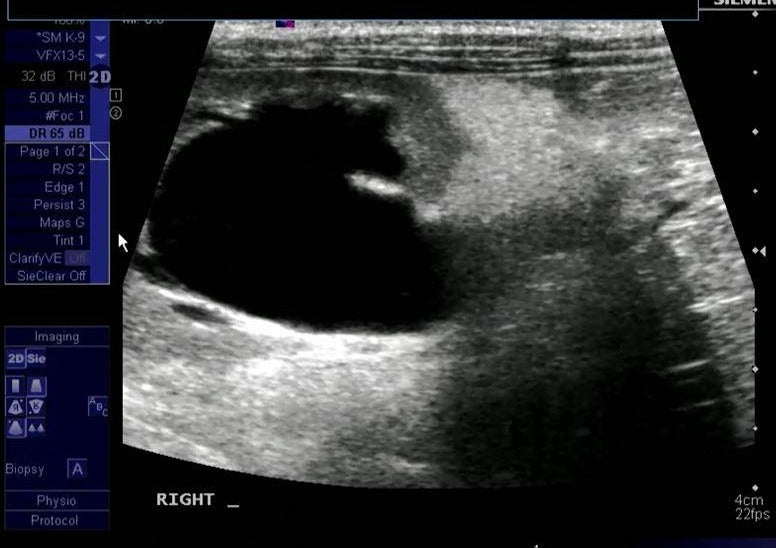
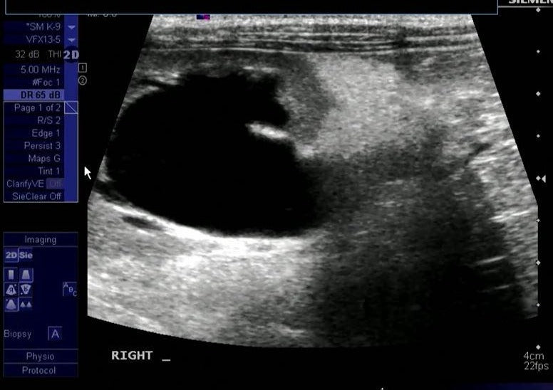
Maintenant que vous savez comment faire une échographie abdominale, le Dr Pease discutera de la façon d’obtenir des photos uniformément afin que vous puissiez aller au-dessus d’eux et voir les différences. Apprenez à voir à quoi ressemble « normal », afin que vous puissiez décider à quoi ressemble « anormal » et expliquer cela aux autres. 10 à 15 cas seront examinés.
Ultrasons
Présenté parAnthony Pease, DVM, MS, DACVR
Médecin vétérinaire en chef chez WVC
Parrainé par Universal Imaging
Présenté au WWV 2019
Share
