Deutsche Vet 2019
CT contre le Roentgen – Ist CT immer besser zur Untersuchung der Vordergliedmaße des Hundes
CT contre le Roentgen – Ist CT immer besser zur Untersuchung der Vordergliedmaße des Hundes
Impossible de charger la disponibilité du service de retrait
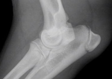
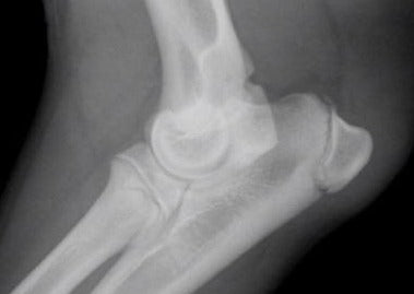
Nein, nicht immer ! Beim Vergleich von CT und Röntgen zeigen sich bei beiden Verfahren Vor-und Nachteile. Relevanter als ein allgemeiner Vergleich a péché jedoch meurent individuellen technischen Aspekte jede Untersuchung, meurent es zu erkennen und zu berücksichtigen la dorure. Ainsi kann eine gute Röntgenuntersuchung diagnostisch wertvoller seine als eine schlechte CT-Untersuchung. Ein wichtiger Vorteil der Röntgendiagnostik liegt dans der technisch einfachen Durchführbarkeit und Interpretation von Stressaufnahmen. Bei Stressaufnahmen a télégraphié indirect meurent Stabilität und Funktionsfähigkeit von Bandstrukturen geprüft, indem Zug auf das jeweilige Band ausgeübt connecté. Antre d'Ein unphysiologisches Aufklappen und Divergieren von Gelenkspalten liefert röntgenologisch indirekten Nachweis einer Bandläsion.
Lernziele :
- Vorteile und Nachteile von Röntgen und CT je suis Vergleich
- Wann ist ein CT schlechter als ein Röntgen ?
- Wie erkenne ich, ob ein CT vident ist ?
- Wo ist Röntgen besser als CT ?
Referent :Dr Andreas Brühschwein,DipECVDI, Fachtierarzt für Diagnostische Radiologie und Strahlentherapie, spécialiste européen dans Imaging™ Diagnostique Vétérinaire
Tierarzt, akademischer Oberrat,Chirurgische und Gynäkologische Kleintierklinik (Vorstand : Prof. Dr A. Meyer-Lindenberg), Zentrum für Klinische Tiermedizin, Tierärztliche Fakultät, Ludwig-Maximilians-Universitat Munchen (LMU München)
Vorgetragen auf der Deutsche Vet 2019
Konferenzsaal 1
Freitag, 7. Juni um 14h00 Uhr
Share
